Explore ideas, tips guide and info Timothy Buntine
Muss Ein Fehlender Backenzahn Ersetzt Werden
Muss Ein Fehlender Backenzahn Ersetzt Werden
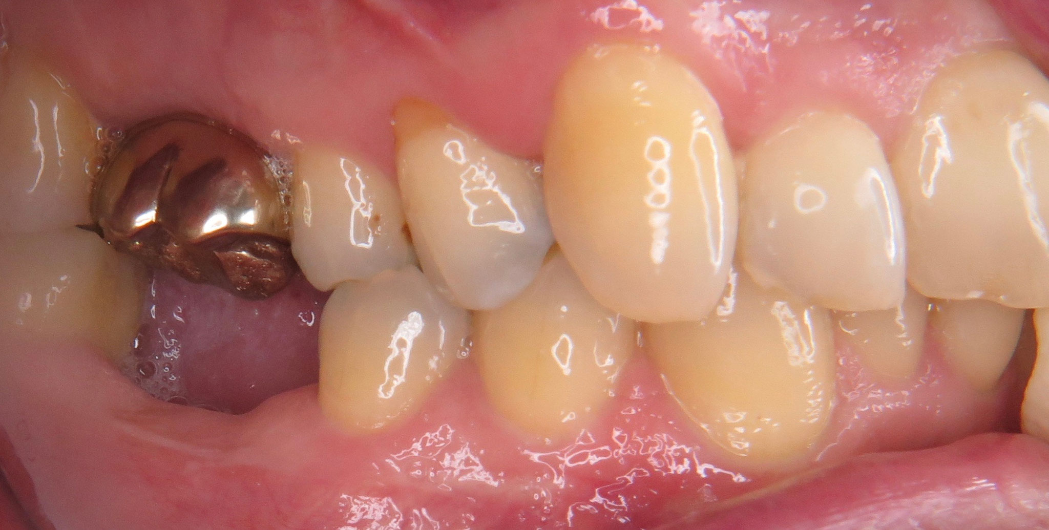
Muss Ein Fehlender Backenzahn Ersetzt Werden. Fehlender Seitenzahn im Unterkiefer ersetzt durch ein Keramikimplantat der Implantatexperte Aber natürlich müssen auch fehlende Backenzähne so schnell wie möglich ersetzt werden - auch wenn die Lücke dort nicht unmittelbar sichtbar ist. Welche Zähne müssen nicht ersetzt werden? Ein fehlender Zahn in Ihrem Alter und an dieser Stelle (zweiter grosser Backenzahn oder Zahn Nr
Weisheitszähne entfernen? Auf den Einzelfall kommt es an from www.prodente.de
Der Kieferknochen wird abgebaut und die Muskulatur verändert sich. Welche Zähne müssen nicht ersetzt werden? Ein fehlender Zahn in Ihrem Alter und an dieser Stelle (zweiter grosser Backenzahn oder Zahn Nr
Weisheitszähne entfernen? Auf den Einzelfall kommt es an
Zum einen fällt ein fehlender Frontzahn sofort ins Auge Ein Bekannter hat seit Jahren eine ähnliche Lücke und keinerlei Probleme Aber natürlich müssen auch fehlende Backenzähne so schnell wie möglich ersetzt werden - auch wenn die Lücke dort nicht unmittelbar sichtbar ist.
Muss an meinem Backenzahn gebohrt werden? (Gesundheit und Medizin, Zahnarzt, Zahnschmerzen). Zum einen fällt ein fehlender Frontzahn sofort ins Auge Welche Zähne müssen nicht ersetzt werden? Ein fehlender Zahn in Ihrem Alter und an dieser Stelle (zweiter grosser Backenzahn oder Zahn Nr
Vorher Nachher Bilder Parodontologie 🦷 Dr. med. dent. Ulf Schladebach. Welche Zähne müssen ersetzt werden? Ein fehlender Zahn im hinteren Bereich muss ab einem bestimmten Alter nicht zwingend ersetzt werden Zum anderen nehmen die Frontzähne beim Kauen (Abbeißen) und Sprechen (Lautbildung) besonders wichtige Funktionen ein